Smile Gallery
Case 1
Whitening
Here, the patient’s teeth were bleached with Philips Zoom Whitespeed, an impressive 5 shades whiter (to B1).
Before
After
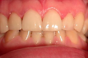
Case 2
Combination case of crowns and veneers.
The patient was delighted with the results.
Before
After
Case 3
Veneers
Four veneers on the upper front teeth.
Before
After
Case 4
Composite fillings (white)
Here the patient presented with deep tissue discolouration. Harry Shiers treated using a composite filling material in a shade chosen to match the surrounding teeth.







